5 年
手机商铺
公司新闻/正文
52 人阅读发布时间:2026-03-20 17:29

2025年,Tomoki Fukuyama团队在《Biomedcines》期刊上发表了一项题为“Topical Administration of a Mixed Microbial Culture of Lactobacillus paracasei,Pichia membranifaciens and Saccharomyces cerevisiae Significantly Inhibits the Development of Atopic Dermatitis in a Mouse Model Through IL-10 over Expression by Dendritic Cells”的研究。该研究探讨了由副干酪乳杆菌、膜毕赤酵母和酿酒酵母组成的混合微生物培养物(LS)对特应性皮炎(AD)小鼠模型的影响,重点评估其免疫调节和抗炎作用。
摘要
背景:本研究聚焦于一种由副干酪乳杆菌、膜毕赤酵母和酿酒酵母组成的混合微生物培养物(LS)作为新型益生菌,探讨其在特应性皮炎(AD)小鼠模型中通过皮肤给药的疗效。
方法:使用小鼠树突状细胞系(DC2.4)检测LS的免疫调节作用,测定IL-10和TNFα的水平。在刺激状态下的人表皮角质形成细胞(HaCaT)中,评估LS对IL-8和TARC产生的抑制作用。最后,在通过局部致敏诱导的AD小鼠模型中,观察LS(10%)局部给药的干预效果。结果:LS显著促进DC2.4细胞分泌IL-10和TNFα,并显著抑制HaCaT细胞中IL-8和TARC的产生。在AD小鼠模型中,LS虽未显著改善临床症状,但降低了局部淋巴结中IgE阳性B细胞数量和IL-4水平。预防性使用LS可明显减轻AD症状。
结论:LS具有免疫调节和抗炎作用,可用于预防AD的发生。
材料与仪器
材料:副干酪乳杆菌、膜毕赤酵母、酿酒酵母混合培养物、细胞系、培养基、胎牛血清(FCS)、青霉素-链霉素、重组人TNFα、IFNγ、ELISA试剂盒、抗体
仪器:流式细胞仪、细胞计数仪、ASCH AS-VT100RS VAPO SCAN经皮水分流失测量仪
ASCH AS-VT100RS VAPO SCAN经皮水分流失测量仪
实验过程
1 细胞实验
使用小鼠树突状细胞系(DC2.4)和人表皮角质形成细胞系(HaCaT)进行体外实验。将DC2.4细胞与不同浓度(0-1 mg/mL)的LS混合微生物培养物共培养,检测IL-10和TNFα的分泌水平。将HaCaT细胞先用TNFα和IFNγ刺激1小时,再加入不同浓度的LS共培养24小时,检测IL-8和TARC的分泌水平。所有细胞因子浓度均使用ELISA试剂盒测定。
2 动物实验
使用NC/Nga小鼠建立特应性皮炎(AD)模型,通过涂抹屋尘螨提取物(Biostir AD)诱导皮炎。实验分为治疗性实验和预防性实验两部分:
治疗性实验:从AD诱导后第19天开始,每日在小鼠背部皮肤涂抹10% LS溶液(0.1 mL/只),对照组涂抹蒸馏水。每周评估AD临床评分、背部皮肤厚度和经皮水分流失量(TEWL)。
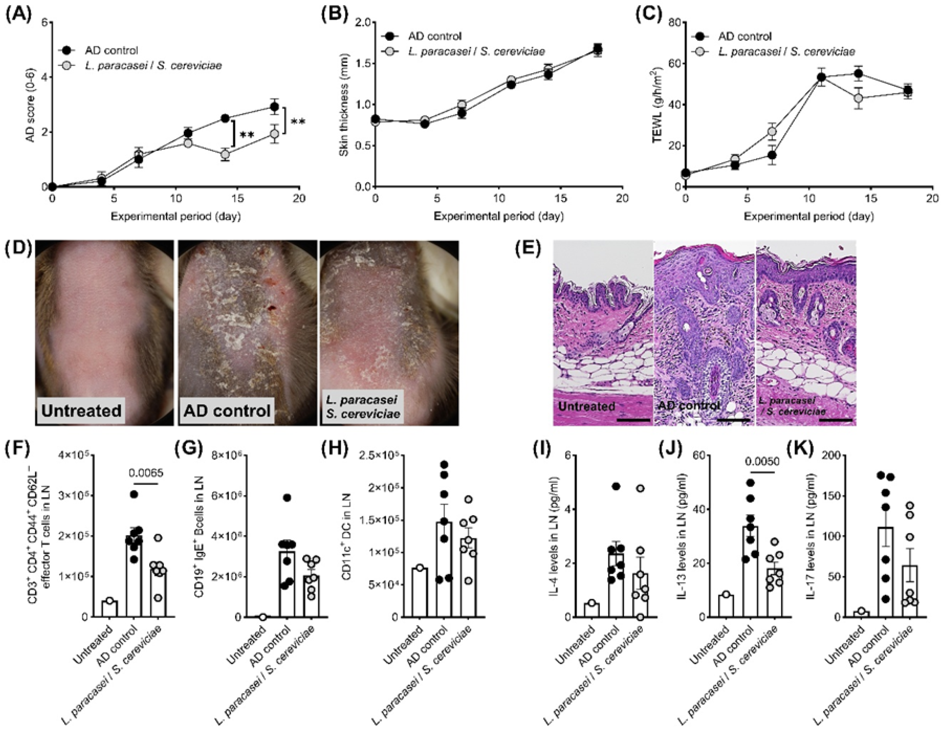
图1 在预防性实验中,与AD对照组相比,LS局部给药降低了(A)AD临床评分,但(B)皮肤厚度和(C)经皮水分流失量(TEWL)未见变化。(D)皮肤病变的代表性宏观图像和(E)受累皮肤的组织学切片(比例尺 = 100 μm)。LS给药减少了耳廓淋巴结中(F)CD3+CD4+CD44+CD62L−效应T细胞的数量,但对(G)CD19+IgE+ B细胞或(H)CD11c+树突状细胞无影响。细胞因子方面,(I)IL-4水平降低,而(J)IL-13和(K)IL-17水平未见变化。数据以平均值±标准误(SEM)表示。各组样本量:未处理组(n = 1),AD对照组(n = 6),LS处理组(n = 7)。** p < 0.01(Student's t检验)与AD对照组比较。AD,特应性皮炎;TEWL,经皮水分流失量。
预防性实验:在AD诱导前即开始每日涂抹10% LS溶液,后续监测指标同治疗性实验。
3 样本分析
实验结束后,收集小鼠耳廓淋巴结,制备单细胞悬液。使用流式细胞仪分析T细胞、B细胞和树突状细胞的亚群变化。将淋巴结细胞用CD3/CD28磁珠刺激24小时,收集上清液检测IFNγ、IL-4、IL-13和IL-17水平。同时取背部皮肤进行组织病理学检查,评估表皮增生、角化、结痂及炎症细胞浸润程度。
4 数据分析
体外实验使用方差分析(ANOVA)后接Dunnett检验,体内实验使用Student's t检验或双因素ANOVA后接Sidak检验。p < 0.05视为有统计学意义。数据以平均值±标准误(SEM)表示,使用GraphPad Prism 10软件分析。
实验结论
LS通过上调树突状细胞的IL-10表达,表现出免疫调节和抗炎作用。在AD小鼠模型中,预防性局部使用LS可抑制AD症状的发展,提示其在人类和伴侣动物中具有预防AD的潜力。