5 年
手机商铺
公司新闻/正文
45 人阅读发布时间:2026-03-19 09:29
你的皮肤下,藏着一张紫外线绘制的“破坏地图”
每次晒黑后,我们总安慰自己:“过一个冬天就白回来了。”但皮肤科实验室里的真相是:晒黑只是皮肤发出的“急性警报”,而那些看不见的“内伤”——结构性破坏,正在真皮层悄然积累。
今天,我们不用肉眼说话,而是借助实验室的两种“法眼”——偏振光成像与组织染色技术,带你看清紫外线如何在你的皮肤深处,留下不可逆转的破坏痕迹。

偏振光:捕捉皮肤结构的“隐形指纹”
要理解紫外线对皮肤的结构性破坏,首先需要一种能够“看见”皮肤纤维组织的技术。这就是偏振光成像的用武之地。
偏振光是什么?
普通光像杂乱无章的人群,向各个方向振动;而偏振光则像整齐行进的仪仗队,在单一方向上振动。当这种“整齐”的光穿透皮肤组织时,它会与皮肤中的纤维结构发生相互作用——光的偏振状态会因此改变,而这种改变恰恰反映了皮肤内部的结构信息。
Mueller矩阵:给皮肤做“偏振身份证”
科学家们用一种叫“Mueller矩阵”的数学工具来记录这种变化。简单来说,Mueller矩阵就像皮肤的“偏振身份证”,记录了组织对光的所有偏振响应。通过分析这张“身份证”,研究人员可以推算出组织的几种关键光学特性:
- 退偏能力:组织让偏振光变成非偏振光的能力,与纤维结构的密集程度相关
- 延迟量:光在组织中不同方向上的传播速度差异,反映纤维的排列规则性
- 二向色性:组织对不同方向偏振光的选择性吸收
一项研究证实:在硬皮病皮肤样本中,研究人员观察到病变区域的退偏量、延迟量和二向色性值均高于正常皮肤,这与该区域胶原纤维异常沉积的组织病理学发现高度吻合。这说明,偏振参数确实能够准确反映皮肤纤维结构的变化。
年龄与偏振信号的关系
更有趣的是,偏振信号会随着年龄和光暴露史而变化。一项针对不同年龄志愿者的人体研究发现:老年组的线偏振度呈现统计学意义上的显著增高。通过计算机模拟分析,研究人员得出结论:这种变化主要源于皮肤散射特性的改变,而非吸收特性的变化;而散射特性的改变,又与真皮层胶原纤维的变化密切相关。
换言之,偏振光成像技术敏感捕捉到的,正是紫外线对真皮胶原纤维的“结构性破坏”。
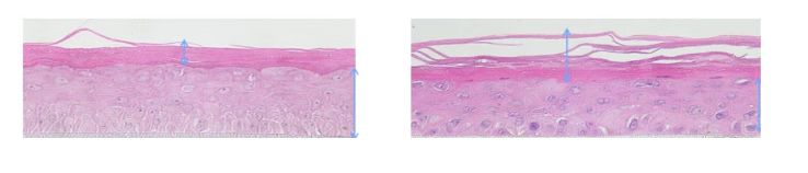
上图显示了光老化的不同阶段以及每个阶段的详细特征
表皮层能够通过多种机制保护皮肤,但长时间的紫外线照射仍然会对皮肤造成损伤。
在受到紫外线攻击时,角质层首当其冲——紫外线会导致角质层异常增厚,损伤细胞间粘附性继而影响经表皮失水率,导致皮肤水分含量降低。同时,紫外线也会影响细胞脂质和负责细胞间连接的桥粒结构。
皮肤组织受到紫外线刺激后会损伤皮肤屏障,进一步损伤活细胞,导致晒伤细胞(sunburn cell)的形成,同时组织活性也显著性降低。用高剂量的UVB照射3D表皮模型,检测涂抹防晒产品前后,晒伤细胞的分布变化结果表明:涂抹了防晒产品能有效预防皮肤损伤,从而减少晒伤细胞的生成。
组织染色:让破坏“现出原形”
如果说偏振光技术是给皮肤做“CT扫描”,那么组织染色就是给皮肤做“病理活检”。后者通过化学染料,让不同的组织成分呈现出不同颜色,从而直观显示紫外线造成的结构损伤。
SHG显微镜:无需染色的“胶原探针”
二次谐波成像是一种特殊的显微技术,它不需要任何外源性染料,就能特异性成像皮肤中的胶原纤维。因为胶原纤维本身具有产生SHG信号的特性——这是由它的分子结构决定的。
结合偏振技术,偏振分辨SHG显微镜不仅能“看见”胶原纤维,还能判断它的排列方向。
UVB暴露小鼠模型的震撼发现
在一项经典研究中,研究人员对无毛小鼠进行间歇性低剂量UVB照射,总累积剂量约为4.6 J/cm²。他们制备了四组皮肤样本:
- UVB暴露组(16周龄,持续照射10周)
- UVB后恢复组(22周龄,照射10周后恢复6周)
- 同龄对照组(16周龄和22周龄,无照射)
结果令人震惊:
首先,UVB暴露组小鼠皮肤表面出现了垂直于身体中线的深皱纹。这直观地表明,紫外线确实导致了皱纹的形成。
更重要的是,偏振分辨SHG显微镜揭示了一个关键规律:皱纹方向与真皮胶原纤维的排列方向存在显著相关性——皱纹的走向,主要平行于胶原纤维的优势排列方向。
进一步的研究发现,胶原纤维方向的改变早在皱纹出现之前就已经开始。在UVB暴露小鼠的“前皱纹期”皮肤中,胶原纤维的方向就已经发生变化,而这种变化的方向,恰恰与之后形成的皱纹方向高度一致。
这意味着:胶原纤维排列的紊乱,是皱纹形成的“前奏”和“触发器”。
偏振参数与组织病理的对应关系
光学的偏振信号变化,究竟对应着怎样的组织学改变?研究人员通过对比偏振成像结果与组织染色切片,建立了以下对应关系:
|
偏振参数变化 |
组织病理学对应 |
解读 |
|
退偏量增加 |
胶原纤维沉积增多、排列密集 |
紫外线导致胶原异常堆积 |
|
延迟量改变 |
胶原纤维排列规则性变化 |
从有序走向无序 |
|
二向色性增强 |
纤维结构各向异性增强 |
异常胶原取代正常胶原 |
|
线偏振度升高 |
散射特性改变 |
胶原纤维变性 |
1979年的一项经典研究早已指出:不同波长的紫外线对皮肤各层的影响存在差异——UV-C和UV-B对表皮的影响大于UV-A,而UV-A对真皮的影响则大于UV-B和UV-C。真皮层,正是胶原纤维和弹性纤维的“家园”。
皮肤的结构性破坏:从微观到宏观
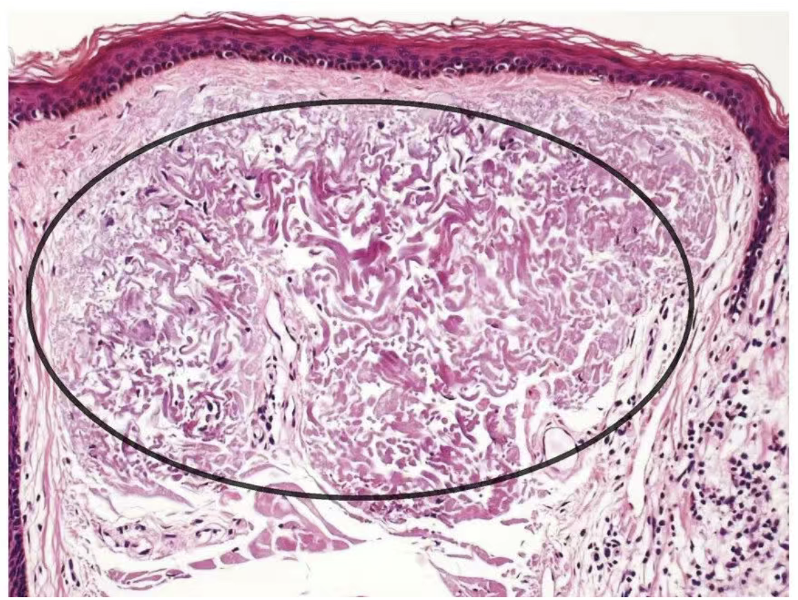
正常的胶原纤维:在偏振光下,健康的胶原纤维排列有序,呈规律的编织状,为皮肤提供支撑和弹性。
紫外线损伤后的胶原纤维:经过反复紫外线暴露,胶原纤维变得卷曲、破碎、杂乱无章,形成病理学上所称的 “日光性弹力纤维变性” 。偏振参数则表现为退偏能力增强、延迟量改变。
这种微观的结构性破坏,最终会表现为宏观的皮肤变化:皱纹加深、皮肤松弛、质地粗糙、色泽暗黄。
日光性弹性纤维变性 图源:《皮肤病理简明图谱》
自修复的局限
研究人员还观察了“UVB后恢复组”小鼠,发现停止照射6周后,部分胶原纤维的排列方向确实有所恢复,更接近未照射的对照组。这说明,皮肤确实具备一定的自我重塑能力。
但这种修复是有限的。长期累积的紫外线暴露,会导致不可逆的结构性破坏。
给读者的启示:看得见的证据,看不见的累积
从实验室回到日常生活,这些偏振光和组织染色的证据告诉我们什么?
紫外线的伤害是“结构性”的。 它不是简单地让你变黑,而是从根本上改变皮肤的建筑结构——胶原纤维的排列方向、密度、规则性。这种改变一旦发生,很难完全逆转。
伤害从“前皱纹期”就开始积累。 当你在镜子前还看不到任何皱纹时,偏振光下可能已经显示出胶原纤维方向的改变。紫外线在你皮肤上绘制“破坏地图”,而你浑然不觉。皮肤对紫外线存在“记忆”。 每一次暴露都会被记录在组织的偏振特性中。今天你涂抹的防晒、撑起的遮阳伞,都是在为未来的皮肤“积攒健康资本”。